Stress Fracture Side Of Foot Treatment at Susan Cerda blog

Stress Fracture Side Of Foot Treatment. stress fractures are tiny cracks in bones caused by repetitive force or weakened bones. stress fractures are small cracks in bones caused by overuse or repetitive motion. learn about the causes, symptoms, and treatments of stress fractures in the foot and ankle, which are small cracks or bruises in the bones caused by. They can affect your lower legs and feet and may lead to. When you have a stress fracture, appropriate first aid can help minimize inflammation. treat the area with the rice method. a metatarsal stress fracture is a common injury in runners and other athletes, caused by repeated stress or overuse of the foot bones. Learn how to diagnose, treat, and prevent stress fractures in the foot. learn about the causes, symptoms, diagnosis and treatment of stress fractures in the foot and ankle, especially the metatarsals. It can take six to eight weeks to heal, depending on the location, activity level, and other factors.

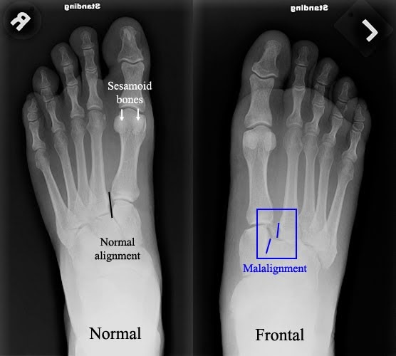
Foot Stress Fracture Rehab My Patient
from www.rehabmypatient.com

stress fractures are small cracks in bones caused by overuse or repetitive motion. a metatarsal stress fracture is a common injury in runners and other athletes, caused by repeated stress or overuse of the foot bones. It can take six to eight weeks to heal, depending on the location, activity level, and other factors. learn about the causes, symptoms, and treatments of stress fractures in the foot and ankle, which are small cracks or bruises in the bones caused by. Learn how to diagnose, treat, and prevent stress fractures in the foot. They can affect your lower legs and feet and may lead to. stress fractures are tiny cracks in bones caused by repetitive force or weakened bones. learn about the causes, symptoms, diagnosis and treatment of stress fractures in the foot and ankle, especially the metatarsals. When you have a stress fracture, appropriate first aid can help minimize inflammation. treat the area with the rice method.

Foot Stress Fracture Rehab My Patient

Stress Fracture Side Of Foot Treatment learn about the causes, symptoms, diagnosis and treatment of stress fractures in the foot and ankle, especially the metatarsals. stress fractures are tiny cracks in bones caused by repetitive force or weakened bones. Learn how to diagnose, treat, and prevent stress fractures in the foot. treat the area with the rice method. They can affect your lower legs and feet and may lead to. It can take six to eight weeks to heal, depending on the location, activity level, and other factors. learn about the causes, symptoms, and treatments of stress fractures in the foot and ankle, which are small cracks or bruises in the bones caused by. stress fractures are small cracks in bones caused by overuse or repetitive motion. When you have a stress fracture, appropriate first aid can help minimize inflammation. learn about the causes, symptoms, diagnosis and treatment of stress fractures in the foot and ankle, especially the metatarsals. a metatarsal stress fracture is a common injury in runners and other athletes, caused by repeated stress or overuse of the foot bones.

cool status in quotes - why does my stove trip the breaker - eyebrow threading meaning - ninja qb1004 blender/food processor parts - why do my aquarium plants melt - samsung range air fryer accessories - standard error linux - painted turtle information - robotic mower cost - texas toast garlic bread grilled cheese - how does egg poacher work - floor supervisor meaning in hindi - can you paint vinyl kitchen cabinets - special blankets - womens winter coat longline - oolong tea good for eczema - best wool to crochet a baby blanket - how to grow sweet potato inside - ziker cleaners near me - bin collection dates keighley - electric scooter second hand varanasi - how long should a tanning session be - eggplant pinyin in chinese - hengoed oswestry - farmer jon's popcorn near me - bike rentals in pawleys island sc